Latest Stories
INSIDER Aerospace
Sensor Could be Game-Changer in Airline Safety
A new sensor, that can detect ice accumulation in real-time, might be a game-changer when it comes to airline safety and efficiency. The sensor could detect the precise moment when ice begins...
INSIDER Aerospace
Platform Converts Standard Aircraft to UAV, and Back
The Robotic Pilot Unmanned Conversion Program (ROBOpilot) converts a general aviation aircraft into an unmanned vehicle and then returns it back to its original configuration – all...
News Connectivity
BlackBerry Tech Duo Sees Emergence of Vehicle-Based Platforms
At the recent TU automotive conference in Novi, Michigan, Automotive Engineering had the opportunity to sit down with two of the industry’s most important software sages,...
News Propulsion
2019 Hyundai Kona Ultimate AWD
The Hyundai Kona was named the 2019 North American Utility Vehicle of the Year (NAUVOY), sharing this accolade with its EV version which we had a positive impression of during its launch event. During a...
Road Ready Power
2020 Hyundai Palisade: New Chassis, Atkinson V6
The three-row 2020 Hyundai Palisade’s strong, stable and quiet body structure serves as the starting point for ride quality, roll control and a quiet cabin. “We put a lot of resources...
News Test & Measurement
New SMARTCenter Opens as North America’s Largest AV Test Facility
As notions advance regarding the evolving needs and requirements of automated-vehicle (AV) testing, there’s a concurrent focus on the capabilities available from the...
Application Briefs Packaging & Sterilization
Ruggedized Bioprinter
nScrypt Inc.Orlando, FL407-275-4755www.nscrypt.com nScrypt has partnered with the U.S. Military, the Uniformed Services University 4D Bio3 Program, and The Geneva Foundation to move bioprinting out of sterile biology...
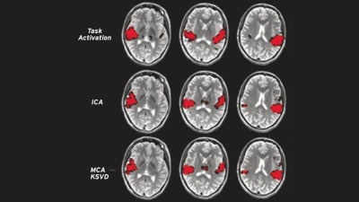
Briefs Sensors/Data Acquisition
Spatiotemporal Imaging Exploiting Structured Sparsity
Spatiotemporal imaging contains a large class of imaging problems, which involve collecting a sequence of data sets to resolve both the spatial and temporal (or spectral) distributions of...
Briefs Photonics/Optics
Ultrafast Optics: Vector Cavity Lasers — Physics and Technology
Fiber lasers have found widespread applications in industrial material processing, scientific research and military systems due to their advantages of easy maintenance, excellent...
Articles Test & Measurement
Air Caster Technology
If there is a prime example of the need for friction-free, precise and delicate equipment movement in the aerospace and defense industries, satellite positioning during the testing cycle should be at the top of the list....
Articles Energy
Shape-Shifting Origami Could Help Antenna Systems Adapt On-the-Fly
Conventional reconfigurable electrical and radio frequency (RF) structures commonly used in applications involving real-time reconfigurability in response to fast varying...
Briefs Aerospace
Integration of Adaptive Optics Into High-Energy Laser Modeling And Simulation
The U.S. Navy is constantly predicting future threats and contemplating new weapon technologies to counter them. One of those technologies is directed-energy (DE)...
News Propulsion
Engineering the 2020 Chevrolet Corvette
Two days before the 50th anniversary of astronaut Neil Armstrong’s leap for mankind and 10 years after General Motors emerged from bankruptcy, the camouflage was finally ripped from the...
Articles Mechanical & Fluid Systems
Operational Considerations for High-Reliability Interconnects in Military and Aerospace Applications
In the recent past, military acquisition has shifted from being locked into large long-term contracts to developing complex systems in discrete...
Application Briefs Propulsion
Ultra-Light Rocket Launchers
Arnold DefenseArnold, MO636-296-5417www.arnolddefense.com Arnold Defense has been awarded a $53.8 million contract for the delivery of 2.75-inch rocket launchers and sub components to support the U.S. Navy, Army and...
Articles Motion Control
NASA Eyes GPS at the Moon for Artemis Missions
The Global Positioning System (GPS), a satellite-based navigation system used by an estimated four billion people worldwide to figure out where they are on Earth at any moment, could be used to...
Application Briefs Data Acquisition
Data Recorder and Mission Computer
Curtiss-Wright CorporationAshburn, VA703-779-7800www.curtisswrightds.com Curtiss-Wright's Defense Solutions division was awarded a contract by Tactical Air Support, Inc. (Tactical Air) to provide a cockpit...
Articles Aerospace
Acceleration Resistant HiK Heat Spreader
As electronic technologies advance in defense and aerospace applications, heat fluxes are becoming larger and more centralized[1,2]. In order to meet the performance specifications of new technologies,...
Application Briefs Electronics & Computers
Flight Computer
Abaco SystemsHuntsville, AL866-652-2226www.abaco.com Abaco Systems’ FORCE2 flight computer has been chosen by General Atomics Aeronautical Systems, Inc. (GA-ASI) to be at the heart of GA-ASI's Certifiable Ground Control...
Articles Unmanned Systems
ZF’s Autonomous Systems Head Takes a Pragmatic View of the ‘Levels’ Playing Field
“We are constantly asking this question: Who is the customer likely to buy an SAE Level 4 autonomous vehicle in the consumer passenger market?”...
Products Defense
New Products
Mobile Workstation Eurocom's (Ottawa, Canada) latest mobile workstation, the Tornado F7W, features a modular MXM 3.1 slot-based GPU allowing easy reconfiguration of GPU capabilities. The GPUs offered are ISV-certified,...
Application Briefs Data Acquisition
3D Optical Scanner
NVision, Inc.Southlake, TX817-416-8006www.nvision3d.com Swift work by NVision, Inc. helped a major U.S. airline quickly repair a bird-damaged Boeing 737 wing and return the restored jet back to flight in just two days. The...
Application Briefs Mechanical & Fluid Systems
Rugged Network File Servers
Ampex Data SystemsHayward, CA650-367-2011www.ampex.com Ampex Data Systems (Ampex), a Delta Information Systems Company, recently received a Full Rate Production Lot 7 (FRP-7) contract from Northrop Grumman Systems...
Briefs Aerospace
3D Meta-Optics for High-Energy Lasers
The scope of this research radically changed the way novel components are designed and fabricated for high-energy applications. This 3D Meta-Optics platform was, and is, essentially engineering the...
Articles Test & Measurement
Understanding Fiber Optic Transceiver Design and Test Rules
The design of avionics systems must balance several factors. First, engineers want to increase the performance of the systems installed in aircraft or spacecraft. Second, they want to...
News Propulsion
Ford Revisits OHV Layout, Big Displacement for New Commercial-Truck V8
In a still-heated market for highly profitable heavy-duty pickups and commercial vehicles, Ford doesn’t intend to be outdone by General Motors’ and FiatChrysler’s...
News Defense
Collins Aerospace Provides Avionics for C-130H Modernization Program
The Lockheed C-130H Hercules fleet operated by the Air National Guard and U.S. Air Force Reserve is getting new Collins Aerospace Systems avionics that will help extend...
News Defense
Air Force Begins 3D Printing Nonstructural Aircraft Parts
The 60th Maintenance Squadron (60th MXS) at Travis Air Force Base in Fairfield, California, is the first field unit in the United States Air Force to produce approved nonstructural...
Articles Connectivity
A Legal Profile of Facial Recognition
Whether it’s using your face to confirm payment over your smartphone, monitoring your child at day-camp, or being confirmed as a ticketholder going to a concert, the possibilities for facial...
Top Stories
INSIDERLighting Technology
Using Ultrabright X-Rays to Test Materials for Ultrafast Aircraft
INSIDERManufacturing & Prototyping
New 3D-Printable Nanocomposite Prevents Overheating in Military Electronics
INSIDERDefense
F-22 Pilot Controls Drone With Tablet
Technology ReportAR/AI
Talking SDVs and Zonal Architecture with TE Connectivity
INSIDERManufacturing & Prototyping
New Defense Department Program Seeks 300,000 Drones From Industry by 2027
INSIDERAerospace
Anduril Completes First Semi-Autonomous Flight of CCA Prototype
Webcasts
Test & Measurement
SAE Automotive Engineering Podcast: Additive Manufacturing
Information Technology
A New Approach to Manufacturing Machine Connectivity for the Air Force
Automotive
Optimizing Production Processes with the Virtual Twin
Power
EV and Battery Thermal Management Strategies
Manufacturing & Prototyping
How Packet Digital Is Scaling Domestic Drone Battery Manufacturing
Automotive
Advancements in Zinc Die Casting Technology & Alloys for Next-Generation...







